產品中心

Olfactory receptor 2M7 rabbit pAb
一鍵復制產品信息
ES3032
規格: 價格:
50μL ¥1280.00
100μL ¥1980.00

Overview

Product name: Olfactory receptor 2M7 rabbit pAb
Reactivity: Human;Rat;Mouse;
Alternative Names: OR2M7; Olfactory receptor 2M7; Olfactory receptor OR1-58
Source: Rabbit
Dilutions: Western Blot: 1/500 - 1/2000. Immunofluorescence: 1/200 - 1/1000. ELISA: 1/10000. Not yet tested in other applications.
Immunogen: The antiserum was produced against synthesized peptide derived from human OR2M7. AA range:241-290
Storage: -20°C/1 year
Clonality: Polyclonal
Isotype: IgG
Concentration: 1 mg/ml
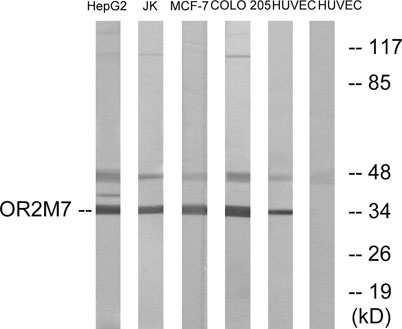
Observed Band: 34kD
GeneID: 391196
Human Swiss-Prot No: Q8NG81
Cellular localization: Cell membrane; Multi-pass membrane protein.
Background: olfactory receptor family 2 subfamily M member 7(OR2M7) Homo sapiens Olfactory receptors interact with odorant molecules in the nose, to initiate a neuronal response that triggers the perception of a smell. The olfactory receptor proteins are members of a large family of G-protein-coupled receptors (GPCR) arising from single coding-exon genes. Olfactory receptors share a 7-transmembrane domain structure with many neurotransmitter and hormone receptors and are responsible for the recognition and G protein-mediated transduction of odorant signals. The olfactory receptor gene family is the largest in the genome. The nomenclature assigned to the olfactory receptor genes and proteins for this organism is independent of other organisms. [provided by RefSeq, Jul 2008],
關閉

在線咨詢

Online consultation

  • 在線咨詢
  • 技術支持

關注微信公眾號

微信掃一掃立即咨詢

微信掃一掃立即咨詢

關閉