產品中心

NEEP21 rabbit pAb
一鍵復制產品信息
ES2914
規格: 價格:
50μL ¥1280.00
100μL ¥1980.00

Overview

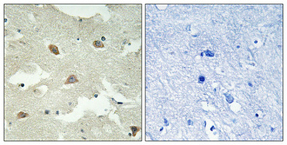
Product name: NEEP21 rabbit pAb
Reactivity: Human;Mouse;Rat
Alternative Names: NSG1; D4S234; Neuron-specific protein family member 1; Brain neuron cytoplasmic protein 1
Source: Rabbit
Dilutions: Western Blot: 1/500 - 1/2000. Immunohistochemistry: 1/100 - 1/300. ELISA: 1/20000. Not yet tested in other applications.
Immunogen: The antiserum was produced against synthesized peptide derived from human NSG1. AA range:112-161
Storage: -20°C/1 year
Clonality: Polyclonal
Isotype: IgG
Concentration: 1 mg/ml
Observed Band: 26kD
GeneID: 27065
Human Swiss-Prot No: P42857
Cellular localization: Membrane ; Single-pass type II membrane protein . Golgi apparatus, trans-Golgi network membrane . Endosome membrane . Cell projection, dendrite . Early endosome membrane . Late endosome membrane . Lysosome lumen . Recycling endosome membrane . Cytoplasmic vesicle membrane . Golgi apparatus, Golgi stack membrane . Endosome, multivesicular body membrane . Endoplasmic reticulum membrane . Endocytosed from the cell surface, thus enters into early endosomes, trafficks to late endosomes and degradates in lysosomes (By similarity). Endoplasmic reticulum targeting is essential for apoptosis (PubMed:20599942). Found in both stationary and motile endosomes. A previous study supports a type I membrane protein topology (By similarity). .
Background: similarity:Belongs to the NSG family.,
關閉

在線咨詢

Online consultation

  • 在線咨詢
  • 技術支持

關注微信公眾號

微信掃一掃立即咨詢

微信掃一掃立即咨詢

關閉