產品中心

KKIALRE rabbit pAb
一鍵復制產品信息
ES2677
規格: 價格:
50μL ¥1280.00
100μL ¥1980.00

Overview

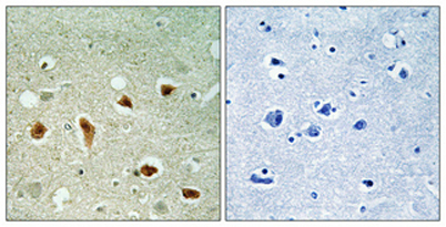
Product name: KKIALRE rabbit pAb
Reactivity: Human;Rat
Alternative Names: CDKL1; Cyclin-dependent kinase-like 1; Protein kinase p42 KKIALRE; Serine/threonine-protein kinase KKIALRE
Source: Rabbit
Dilutions: Western Blot: 1/500 - 1/2000. Immunohistochemistry: 1/100 - 1/300. ELISA: 1/10000. Not yet tested in other applications.
Immunogen: The antiserum was produced against synthesized peptide derived from human CDKL1. AA range:281-330
Storage: -20°C/1 year
Clonality: Polyclonal
Isotype: IgG
Concentration: 1 mg/ml
Observed Band: 42kD
GeneID: 8814
Human Swiss-Prot No: Q00532
Cellular localization: Cytoplasm . Nucleus .
Background: This gene product is a member of a large family of CDC2-related serine/threonine protein kinases. It accumulates primarily in the nucleus. Two transcript variants encoding different isoforms have been found for this gene. [provided by RefSeq, Aug 2013],
關閉

在線咨詢

Online consultation

  • 在線咨詢
  • 技術支持

關注微信公眾號

微信掃一掃立即咨詢

微信掃一掃立即咨詢

關閉