產品中心

HoxD12 rabbit pAb
一鍵復制產品信息
ES2562
規格: 價格:
50μL ¥1280.00
100μL ¥1980.00

Overview

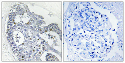
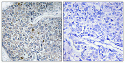
Product name: HoxD12 rabbit pAb
Reactivity: Human;Mouse
Alternative Names: HOXD12; HOX4H; Homeobox protein Hox-D12; Homeobox protein Hox-4H
Source: Rabbit
Dilutions: Western Blot: 1/500 - 1/2000. Immunohistochemistry: 1/100 - 1/300. ELISA: 1/20000. Not yet tested in other applications.
Immunogen: The antiserum was produced against synthesized peptide derived from human HOXD12. AA range:191-240
Storage: -20°C/1 year
Clonality: Polyclonal
Isotype: IgG
Concentration: 1 mg/ml
Observed Band: 28kD
GeneID: 3238
Human Swiss-Prot No: P35452
Cellular localization: Nucleus.
Background: This gene belongs to the homeobox family of genes. The homeobox genes encode a highly conserved family of transcription factors that play an important role in morphogenesis in all multicellular organisms. Mammals possess four similar homeobox gene clusters, HOXA, HOXB, HOXC and HOXD, located on different chromosomes, consisting of 9 to 11 genes arranged in tandem. This gene is one of several homeobox HOXD genes located in a cluster on chromosome 2. Deletions that remove the entire HOXD gene cluster or the 5' end of this cluster have been associated with severe limb and genital abnormalities. The exact role of this gene has not been determined. [provided by RefSeq, Jul 2008],
關閉

在線咨詢

Online consultation

  • 在線咨詢
  • 技術支持

關注微信公眾號

微信掃一掃立即咨詢

微信掃一掃立即咨詢

關閉