產品中心

GDF-9 rabbit pAb
一鍵復制產品信息
ES2419
規格: 價格:
50μL ¥1280.00
100μL ¥1980.00

Overview

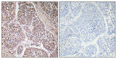
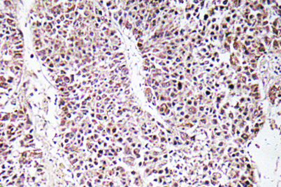
Product name: GDF-9 rabbit pAb
Reactivity: Human;Rat;Mouse;
Alternative Names: GDF9; Growth/differentiation factor 9; GDF-9
Source: Rabbit
Dilutions: Western Blot: 1/500 - 1/2000. Immunohistochemistry: 1/100 - 1/300. ELISA: 1/10000. Not yet tested in other applications.
Immunogen: The antiserum was produced against synthesized peptide derived from human GDF-9. AA range:273-322
Storage: -20°C/1 year
Clonality: Polyclonal
Isotype: IgG
Concentration: 1 mg/ml
Observed Band: 57kD
GeneID: 2661
Human Swiss-Prot No: O60383
Cellular localization: Secreted .
Background: This gene encodes a secreted ligand of the TGF-beta (transforming growth factor-beta) superfamily of proteins. Ligands of this family bind various TGF-beta receptors leading to recruitment and activation of SMAD family transcription factors that regulate gene expression. The encoded preproprotein is proteolytically processed to generate each subunit of the disulfide-linked homodimer. This protein regulates ovarian function. Reduced expression of this gene may be associated with polycystic ovary syndrome and mutations in this gene may be more common in mothers of dizygotic twins. [provided by RefSeq, Jul 2016],
關閉

在線咨詢

Online consultation

  • 在線咨詢
  • 技術支持

關注微信公眾號

微信掃一掃立即咨詢

微信掃一掃立即咨詢

關閉