首頁
產品中心
抗體
單克隆抗體
多克隆抗體
二抗
內參及標簽抗體
ELISA試劑盒
常規法
一步法(EasyStep)
高敏法(High Sensitivity)
微量法(Microsample)
分子生物學
核酸提取與純化
qPCR/RT-PCR
克隆系統
細胞代謝與生化檢測
生化檢測試劑盒
蛋白
重組/天然蛋白
研究方向
最新活動
技術專欄
引用文獻
實驗小貼士
常見問題
技術討論
資料下載
新聞中心
公司新聞
行業新聞
產品畫冊
關于我們
公司介紹
客戶評鑒
人才招聘
聯系我們
聯系訂購
網站首頁
產品中心
抗體
單克隆抗體
多克隆抗體
二抗
內參及標簽抗體
ELISA試劑盒
常規法
一步法(EasyStep)
高敏法(High Sensitivity)
微量法(Microsample)
分子生物學
核酸提取與純化
qPCR/RT-PCR
克隆系統
細胞代謝與生化檢測
生化檢測試劑盒
蛋白
重組/天然蛋白
研究方向
最新活動
最新活動
技術專欄
引用文獻
實驗小貼士
常見問題
技術討論
資料下載
新聞中心
公司新聞
行業新聞
產品畫冊
關于我們
公司介紹
客戶評鑒
人才招聘
聯系我們
聯系訂購
產品中心
抗體
ELISA試劑盒
分子生物學
細胞代謝與生化檢測
蛋白
CAGE-1 rabbit pAb
一鍵復制產品信息
ES1828
¥1280.00/50μL ¥1980.00/100μL
規格:
價格:
50μL
¥1280.00
100μL
¥1980.00
下載說明 ①
Overview
Product name:
CAGE-1 rabbit pAb
Reactivity:
Human;Rat;Mouse;
Alternative Names:
CAGE1; CTAG3; Cancer-associated gene 1 protein; CAGE-1; Cancer/testis antigen 3; CT3
Source:
Rabbit
Dilutions:
Western Blot: 1/500 - 1/2000. Immunohistochemistry: 1/100 - 1/300. ELISA: 1/40000. Not yet tested in other applications.
Immunogen:
The antiserum was produced against synthesized peptide derived from human CAGE1. AA range:711-760
Storage:
-20°C/1 year
Clonality:
Polyclonal
Isotype:
IgG
Concentration:
1 mg/ml
Observed Band:
90kD
GeneID:
285782
Human Swiss-Prot No:
Q8TC20
Background:
tissue specificity:Testis-specific expression in normal tissues, but wide expression among cancer tissues and cell lines.,
Western Blot analysis of various cells using CAGE-1 Polyclonal Antibody diluted at 1:2000
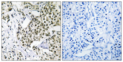
Immunohistochemistry analysis of paraffin-embedded human breast carcinoma tissue, using CAGE1 Antibody. The picture on the right is blocked with the synthesized peptide.
Western blot analysis of lysates from HT-29 and Jurkat cells, using CAGE1 Antibody. The lane on the right is blocked with the synthesized peptide.
Western blot analysis of the lysates from HepG2 cells using CAGE1 antibody.
關閉
在線咨詢
Online consultation
在線咨詢
技術支持
關注微信公眾號
微信掃一掃立即咨詢
微信電腦端咨詢
微信掃一掃立即咨詢
微信電腦端咨詢
關閉