產品中心

BAP31 rabbit pAb
一鍵復制產品信息
ES1748
規格: 價格:
50μL ¥1280.00
100μL ¥1980.00

Overview

Product name: BAP31 rabbit pAb
Reactivity: Human;Mouse;Rat
Alternative Names: BCAP31; BAP31; DXS1357E; B-cell receptor-associated protein 31; BCR-associated protein 31; Bap31; 6C6-AG tumor-associated antigen; Protein CDM; p28
Source: Rabbit
Dilutions: Western Blot: 1/500 - 1/2000. ELISA: 1/40000. Not yet tested in other applications.
Immunogen: The antiserum was produced against synthesized peptide derived from human BAP31. AA range:151-200
Storage: -20°C/1 year
Clonality: Polyclonal
Isotype: IgG
Concentration: 1 mg/ml
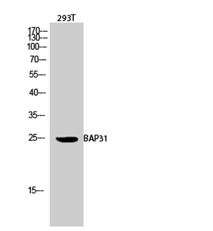
Observed Band: 28kD
GeneID: 10134
Human Swiss-Prot No: P51572
Cellular localization: Endoplasmic reticulum membrane ; Multi-pass membrane protein . Endoplasmic reticulum-Golgi intermediate compartment membrane ; Multi-pass membrane protein . May shuttle between the ER and the intermediate compartment/cis-Golgi complex (PubMed:9396746). Associates with the mitochondria-associated endoplasmic reticulum membrane via interaction with TOMM40 (PubMed:31206022). .
Background: This gene encodes a member of the B-cell receptor associated protein 31 superfamily. The encoded protein is a multi-pass transmembrane protein of the endoplasmic reticulum that is involved in the anterograde transport of membrane proteins from the endoplasmic reticulum to the Golgi and in caspase 8-mediated apoptosis. Microdeletions in this gene are associated with contiguous ABCD1/DXS1375E deletion syndrome (CADDS), a neonatal disorder. Alternative splicing of this gene results in multiple transcript variants. Two related pseudogenes have been identified on chromosome 16. [provided by RefSeq, Jan 2012],
關閉

在線咨詢

Online consultation

  • 在線咨詢
  • 技術支持

關注微信公眾號

微信掃一掃立即咨詢

微信掃一掃立即咨詢

關閉