產品中心

ADCK4 rabbit pAb
一鍵復制產品信息
ES1602
規格: 價格:
50μL ¥1280.00
100μL ¥1980.00

Overview

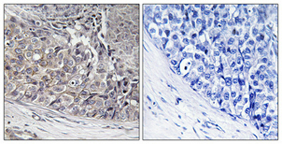
Product name: ADCK4 rabbit pAb
Reactivity: Human;Mouse;Rat
Alternative Names: ADCK4; Uncharacterized aarF domain-containing protein kinase 4
Source: Rabbit
Dilutions: Western Blot: 1/500 - 1/2000. Immunohistochemistry: 1/100 - 1/300. Immunofluorescence: 1/200 - 1/1000. ELISA: 1/10000. Not yet tested in other applications.
Immunogen: The antiserum was produced against synthesized peptide derived from human ADCK4. AA range:31-80
Storage: -20°C/1 year
Clonality: Polyclonal
Isotype: IgG
Concentration: 1 mg/ml
Observed Band: 65kD
GeneID: 79934
Human Swiss-Prot No: Q96D53
Cellular localization: Mitochondrion membrane ; Single-pass membrane protein . Cytoplasm, cytosol . Cell membrane .
Background: This gene encodes a protein with two copies of a domain found in protein kinases. The encoded protein has a complete protein kinase catalytic domain, and a truncated domain that contains only the active and binding sites of the protein kinase domain, however, it is not known whether the protein has any kinase activity. Multiple transcript variants encoding different isoforms have been found for this gene. [provided by RefSeq, Sep 2011],
關閉

在線咨詢

Online consultation

  • 在線咨詢
  • 技術支持

關注微信公眾號

微信掃一掃立即咨詢

微信掃一掃立即咨詢

關閉