產品中心

JAK2 (phospho Tyr1007) rabbit pAb
一鍵復制產品信息
ES1348
規格: 價格:
50μL ¥1280.00
100μL ¥1980.00

Overview

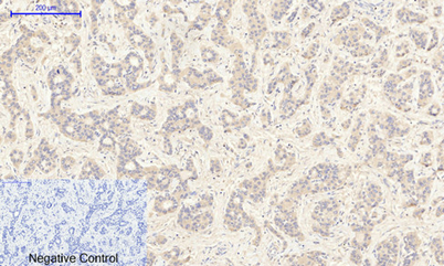
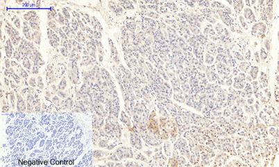
Product name: JAK2 (phospho Tyr1007) rabbit pAb
Reactivity: Human;Mouse;Rat
Alternative Names: JAK2; Tyrosine-protein kinase JAK2; Janus kinase 2; JAK-2
Source: Rabbit
Dilutions: Immunohistochemistry: 1/100 - 1/300. ELISA: 1/20000. Not yet tested in other applications.
Immunogen: The antiserum was produced against synthesized peptide derived from human JAK2 around the phosphorylation site of Tyr1007. AA range:981-1030
Storage: -20°C/1 year
Clonality: Polyclonal
Isotype: IgG
Concentration: 1 mg/ml
Observed Band: 130kD
GeneID: 3717
Human Swiss-Prot No: O60674
Cellular localization: Endomembrane system ; Peripheral membrane protein . Cytoplasm . Nucleus .
Background: This gene product is a protein tyrosine kinase involved in a specific subset of cytokine receptor signaling pathways. It has been found to be constituitively associated with the prolactin receptor and is required for responses to gamma interferon. Mice that do not express an active protein for this gene exhibit embryonic lethality associated with the absence of definitive erythropoiesis. [provided by RefSeq, Jul 2008],
關閉

在線咨詢

Online consultation

  • 在線咨詢
  • 技術支持

關注微信公眾號

微信掃一掃立即咨詢

微信掃一掃立即咨詢

關閉