產品中心

p53 (Di Methyl Lys370) rabbit pAb
一鍵復制產品信息
ES1085
規格: 價格:
50μL ¥1280.00
100μL ¥1980.00

Overview

Product name: p53 (Di Methyl Lys370) rabbit pAb
Reactivity: Human;Rat;Mouse;
Alternative Names: TP53; P53; Cellular tumor antigen p53; Antigen NY-CO-13; Phosphoprotein p53; Tumor suppressor p53
Source: Rabbit
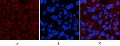
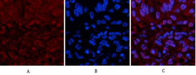
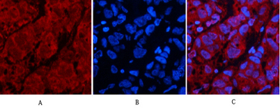
Dilutions: IF: 1:50-200 Western Blot: 1/500 - 1/2000. IHC-p: 1:100-300 ELISA: 1/20000. Not yet tested in other applications.
Immunogen: Synthesized peptide derived from human p53 around the di-methylation site of K370.
Storage: -20°C/1 year
Clonality: Polyclonal
Isotype: IgG
Concentration: 1 mg/ml
Observed Band: 53kD
GeneID: 7157
Human Swiss-Prot No: P04637
Cellular localization: Cytoplasm . Nucleus . Nucleus, PML body . Endoplasmic reticulum . Mitochondrion matrix . Cytoplasm, cytoskeleton, microtubule organizing center, centrosome . Recruited into PML bodies together with CHEK2 (PubMed:12810724). Translocates to mitochondria upon oxidative stress (PubMed:22726440). Translocates to mitochondria in response to mitomycin C treatment (PubMed:27323408). .; [Isoform 1]: Nucleus . Cytoplasm. Predominantly nuclear but localizes to the cytoplasm when expressed with isoform 4.; [Isoform 2]: Nucleus. Cytoplasm. Localized mainly in the nucleus with minor staining in the cytoplasm.; [Isoform 3]: Nucleus. Cytoplasm. Localized in the nucleus in most cells but found in the cytoplasm in some cells.; [Isoform 4]: Nucleus. Cytoplasm. Predominantly nuclear but translocates to the cy
Background: tumor protein p53(TP53) Homo sapiens This gene encodes a tumor suppressor protein containing transcriptional activation, DNA binding, and oligomerization domains. The encoded protein responds to diverse cellular stresses to regulate expression of target genes, thereby inducing cell cycle arrest, apoptosis, senescence, DNA repair, or changes in metabolism. Mutations in this gene are associated with a variety of human cancers, including hereditary cancers such as Li-Fraumeni syndrome. Alternative splicing of this gene and the use of alternate promoters result in multiple transcript variants and isoforms. Additional isoforms have also been shown to result from the use of alternate translation initiation codons (PMIDs: 12032546, 20937277). [provided by RefSeq, Feb 2013],
關閉

在線咨詢

Online consultation

  • 在線咨詢
  • 技術支持

關注微信公眾號

微信掃一掃立即咨詢

微信掃一掃立即咨詢

關閉