產品中心

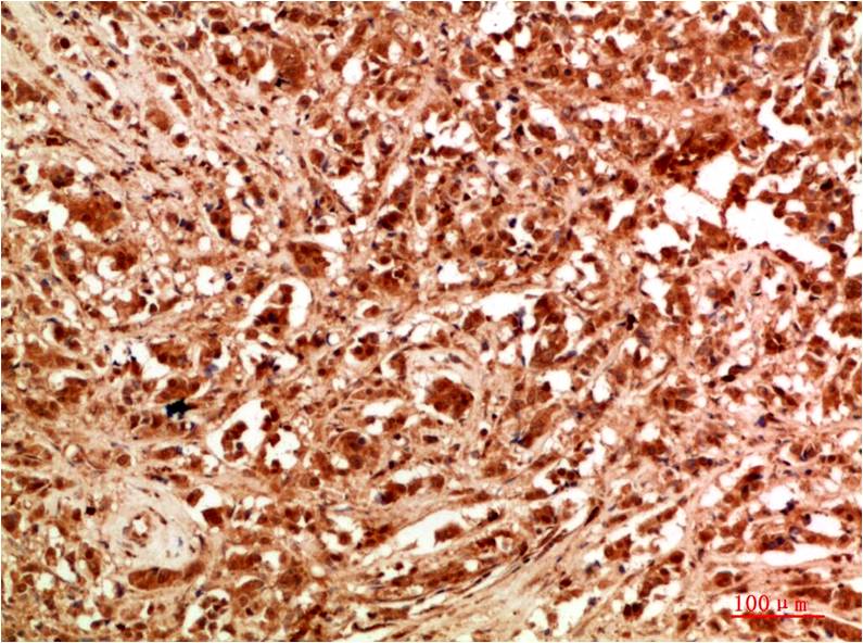
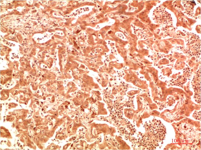
ATG7 Rabbit pAb
一鍵復制產品信息
EA351
規格: 價格:
50μL ¥1280.00
100μL ¥1980.00

Overview

Product name: ATG7 Rabbit pAb
Reactivity: Human, Mouse, Rat
Alternative Names: APG7, GSA7, Autophagy related protein 7
Source: Rabbit
Dilutions: IHC 1:100-200
Immunogen: Recombinant Protein
Storage: PBS with 0.02% sodium azide and 50% glycerol pH 7.4. Store at -20°C. Avoid?repeated?freeze-thaw?cycles.
Clonality: Polyclonal
Isotype: IgG
Concentration: 1mg/mL
Observed Band: 78kDa
GeneID: 10533
Human Swiss-Prot No: O95352
Cellular localization: Cytoplasm
Background: The molecular machinery of autophagy was largely discovered in yeast and referred to as?autophagy-related (Atg) genes. Formation of the autophagosome involves a ubiquitin-like conjugation system in which Atg12 is covalently bound to Atg5 and targeted to autophagosome vesicles. This conjugation reaction is mediated by the ubiquitin E1-like enzyme Atg7 and the E2-like enzyme Atg10.
關閉

在線咨詢

Online consultation

  • 在線咨詢
  • 技術支持

關注微信公眾號

微信掃一掃立即咨詢

微信掃一掃立即咨詢

關閉