產品中心

MEK3 Rabbit pAb
一鍵復制產品信息
EA345
規格: 價格:
50μL ¥1280.00
100μL ¥1980.00

Overview

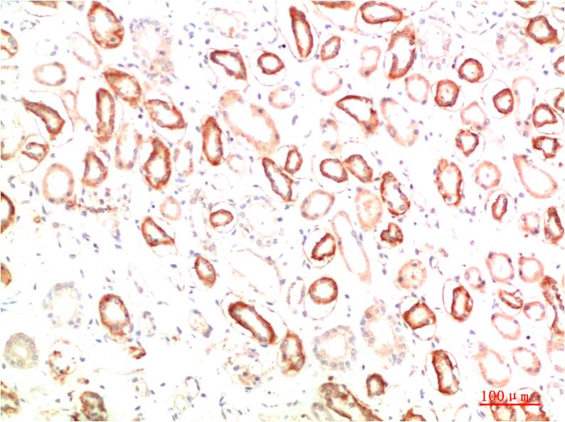
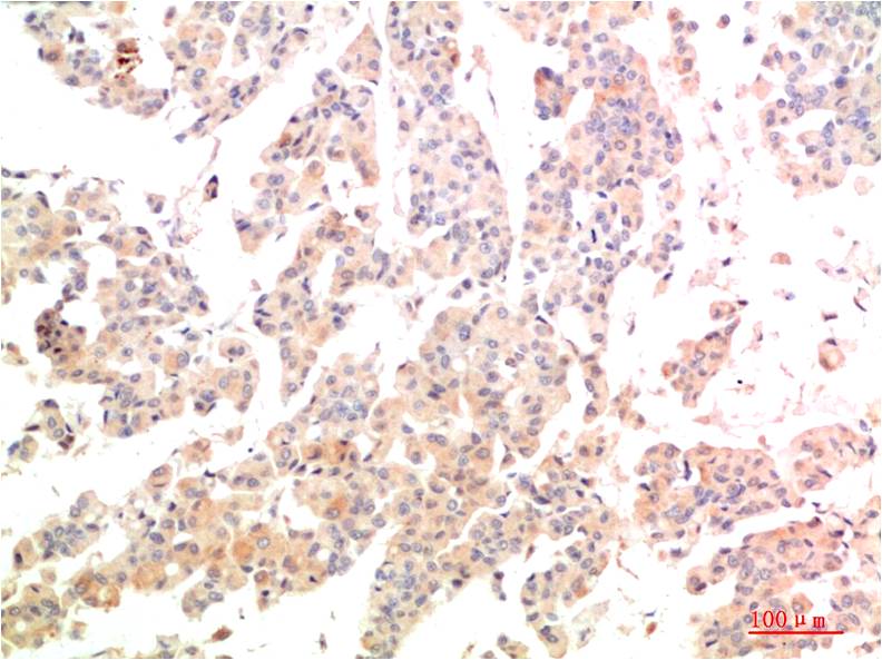
Product name: MEK3 Rabbit pAb
Reactivity: Human, Mouse, Rat
Alternative Names: MAP2K3; MKK3; PRKMK3; Dual specificity mitogen-activated protein kinase kinase 3; MAP kinase kinase 3; MAPKK3; MAPK/ERK kinase 3
Source: Rabbit
Dilutions: IHC 1:100-200
Immunogen: Recombinant Protein
Storage: PBS with 0.02% sodium azide and 50% glycerol pH 7.4. Store at -20°C. Avoid?repeated?freeze-thaw?cycles.
Clonality: Polyclonal
Isotype: IgG
Concentration: 1mg/mL
Observed Band: 34,39kDa
GeneID: 5606
Human Swiss-Prot No: P46734
Cellular localization: Cytosol,Nucleus
Background: Three alternatively spliced transcript variants of MEK3 encoding distinct isoforms have been reported. Isoform B utilizes a different start codon compared to isoform C resulting in the production of a N-terminal segment of isoform B which is shorter and distinct from isoform C . MEK3b is the predominant form of MEK3 and strongly activates p38 MAP kinase .
關閉

在線咨詢

Online consultation

  • 在線咨詢
  • 技術支持

關注微信公眾號

微信掃一掃立即咨詢

微信掃一掃立即咨詢

關閉