產品中心

JNK2 Rabbit pAb
一鍵復制產品信息
EA342
規格: 價格:
50μL ¥1280.00
100μL ¥1980.00

Overview

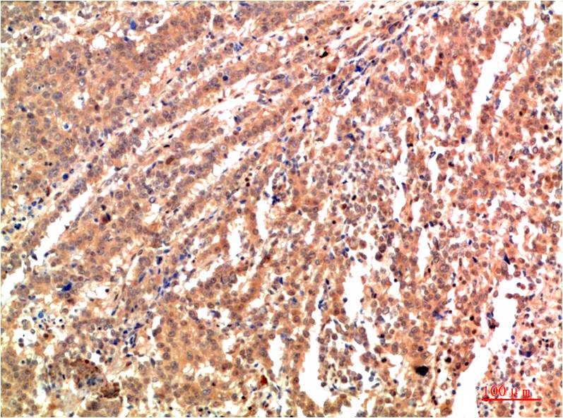
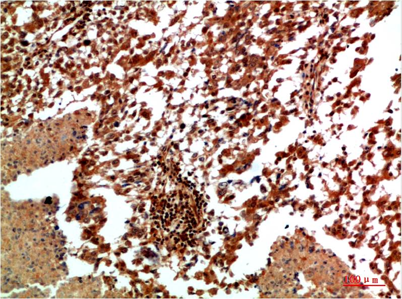
Product name: JNK2 Rabbit pAb
Reactivity: Human, Mouse, Rat
Alternative Names: c Jun kinase 2, JNK55, JNK2A, JNK2B, SAPK
Source: Rabbit
Dilutions: WB ?1:500-1,000 IHC 1:100-200
Immunogen: Recombinant Protein
Storage: PBS with 0.02% sodium azide and 50% glycerol pH 7.4. Store at -20°C. Avoid?repeated?freeze-thaw?cycles.
Clonality: Polyclonal
Isotype: IgG
Concentration: 1mg/mL
Observed Band: 46,54kDa
GeneID: 5601
Human Swiss-Prot No: P45984
Cellular localization: Cytoplasm,?Nucleus
Background: There are three SAPK/JNK genes each of which undergoes alternative splicing, resulting in numerous isoforms. SAPK/JNK, when active as a dimer, can translocate to the nucleus and regulate transcription through its effects on c-Jun, ATF-2, and other transcription factors.
關閉

在線咨詢

Online consultation

  • 在線咨詢
  • 技術支持

關注微信公眾號

微信掃一掃立即咨詢

微信掃一掃立即咨詢

關閉