產品中心

HSP90α Rabbit pAb
一鍵復制產品信息
EA338
規格: 價格:
50μL ¥1280.00
100μL ¥1980.00

Overview

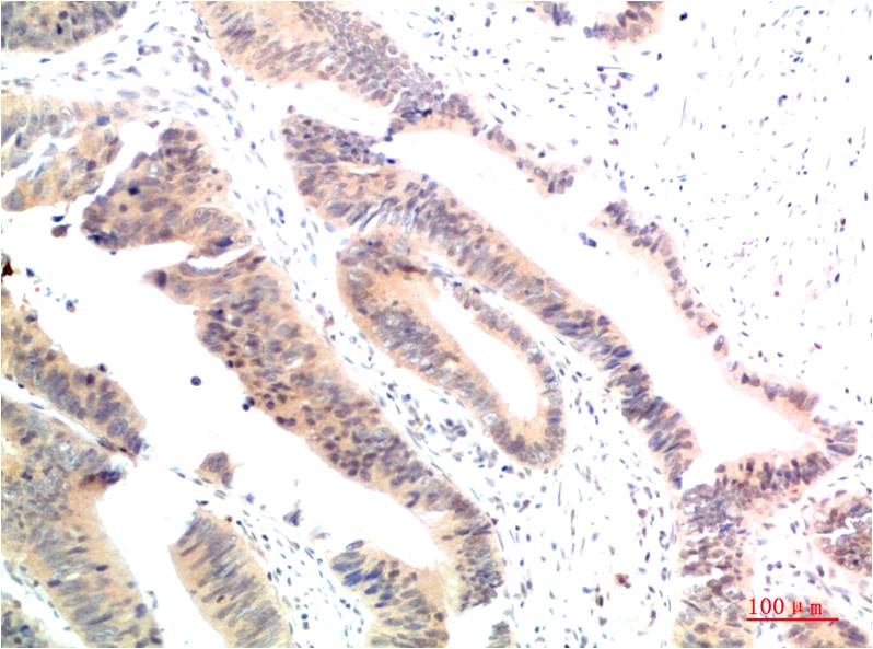
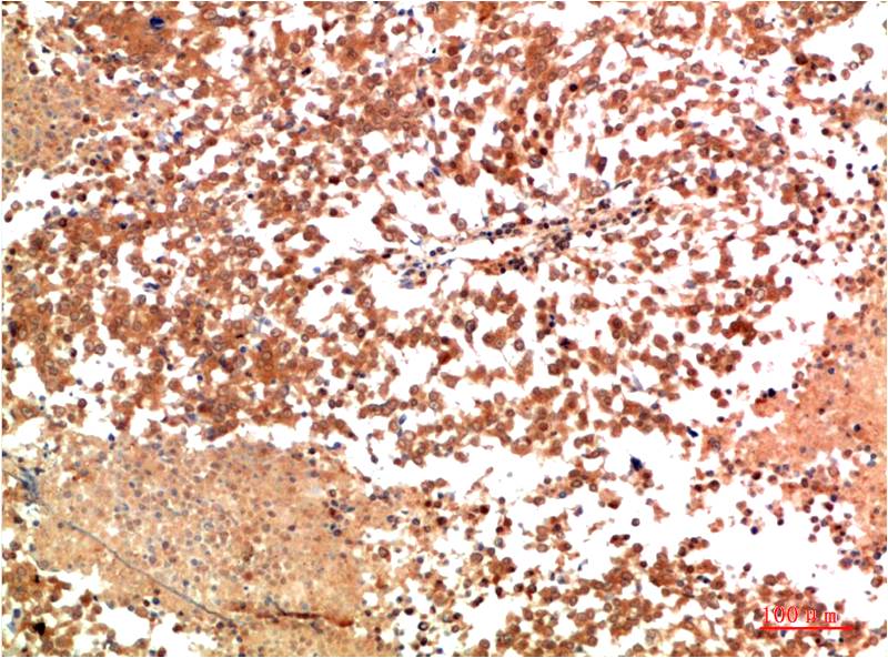
Product name: HSP90α Rabbit pAb
Reactivity: Human, Mouse, Rat
Alternative Names: EL52 antibody, Heat shock 86 KDa antibody, HSP86 antibody, HSP90N antibody, HSPC1 antibody
Source: Rabbit
Dilutions: IHC 1:100-200
Immunogen: Recombinant Protein
Storage: PBS with 0.02% sodium azide and 50% glycerol pH 7.4. Store at -20°C. Avoid?repeated?freeze-thaw?cycles.
Clonality: Polyclonal
Isotype: IgG
Concentration: 1mg/mL
Observed Band: 95kDa
GeneID: 3320
Human Swiss-Prot No: P07900
Cellular localization: Cytoplasm. Melanosome
Background: Hsp90 (heat shock protein 90) is a chaperone protein that assists other proteins to fold properly, stabilizes proteins against heat stress, and aids in protein degradation. In mammalian cells, there are two or more genes encoding cytosolic Hsp90 homologues, with the human Hsp90α showing 85% sequence identity to Hsp90β.
關閉

在線咨詢

Online consultation

  • 在線咨詢
  • 技術支持

關注微信公眾號

微信掃一掃立即咨詢

微信掃一掃立即咨詢

關閉